Do Thymomas with and without Myasthenia Gravis Share Differences in Clinicopathological Features?
Download
Abstract
Objective: Analyses of prognostic effects of age, sex, pathological stage, histological finding and Masoka staging between thymomas with and without myasthenia gravis are to be made in this study.
Method: This retrospective study comprise of 38 patients who underwent either surgery or biopsy for histological confirmation of thymoma and the specimens were received in the department of pathology. Twenty-nine cases presented with symptoms of myasthenia gravis and nine cases presented without symptoms of myasthenia gravis.
Result: We hereby describe a group of thymoma patients treated at a tertiary cancer centre in northern India and compare the clinicopathological characteristics between the subset of patients of thymoma having MG and those without MG.
Conclusion: Due to a low number of cases of the two group, no significant correlation could be made. Patients diagnosed as thymoma without myasthenia gravis only showed a significant correlation between age and sex (r=0.845, p=0.004).
Introduction
Thymomas and thymic carcinomas are tumours arising from the thymic epithelial cells. These tumours are aggressive and frequently exhibit local invasion [1, 2]. Nevertheless, they do not exhibit metastasis. The most common mediastinal tumour in adulthood is thymoma, accounting for around ~1% of all human neoplasms. Thymomas have a range of malignant potential that ranges from low to moderate. Thymic carcinoma, in contrast, typically exhibits an aggressive clinical course. Thymomas were classified by the World Health Organization (WHO) into types A, AB, B1, B2, and B3 based on their histological characteristics [3, 4].
The primary criterion for the prognosis of thymomas continues to be the tumour stage. However, it hasn’t been proven whether other factors lead to better outcomes. According to several research articles and meta-analyses, patients with thymoma subtypes A, AB, and B1 have better outcomes compared to those with B2 and B3 thymoma subtypes. Myasthenia gravis (MG) develops in approximately half of people with thymomas. Thymomas are neoplasms arising from thymic epithelial cells in myasthenia gravis (MG). Typically, they belong to the cortical WHO type B subtype [5]. Thymomas and the serum of patients with thymoma MG, both have anti-Anticholinesterase receptor (AChR) and anti-titin antibodies [6]. Thymoma is the one of primary causes of the paraneoplastic disease known as MG. There is a strong association of thymomas with myasthenia gravis and other paraneoplastic syndromes such as total red cell aplasia, polymyositis, systemic lupus erythematosus, Cushing syndrome, and syndrome of inappropriate antidiuretic hormone secretion. other paraneoplastic syndromes such as total red cell aplasia, polymyositis, systemic lupus erythematosus, Cushing syndrome, and syndrome of inappropriate antidiuretic hormone secretion [7, 8].
Surgery and adjuvant radiation are the mainstays of treatment for invasive thymomas [9]. Thymomas are amenable to both chemotherapy and radiation, therefore even incompletely resected and incurable patients can have lasting responses. Immunoglobulin and plasmapheresis therapies are usually advised instead of thymectomy in severe cases of thymoma MG, including those with MG crisis and those with severe MG cases that have a poor response to traditional pharmacological treatment.
We hereby describe a group of thymoma patients treated at a tertiary cancer centre in northern India and compare the clinicopathological characteristics between the subset of patients having MG and those without MG.
Materials and Methods
All patients presenting to the endocrine surgery department of our institute between January 2015 to January 2021 were reviewed. This retrospective study comprised of 38 patients who underwent either surgery or biopsy for histological confirmation of thymoma and the specimens were received in the department of pathology. Twenty-nine cases presented with symptoms of myasthenia gravis and nine cases presented without symptoms of myasthenia gravis. Inclusion criteria for cases were as follows- All cases above 20 years of age and confirmed as thymoma on histopathology. Exclusion criteria for case selection were: cases with thymic carcinoma and cases of thymoma with other paraneoplastic syndromes (such as total red cell aplasia, polymyositis, systemic lupus erythematosus, Cushing syndrome, and syndrome of inappropriate antidiuretic hormone secretion).
These patients were classified according to the pathological classification by World Health Organization (WHO) 2021. Based on the predominant cell type, this categorization divided thymomas into type A, AB, B1, B2, and B3 entities [3]. Staging of the thymoma was decided by using the Masoka staging system [4].
Clinical factors, such as age, sex, symptoms and length of symptoms, histological features, stage, and presence of myasthenia gravis, therapeutic factors, such as treatment mode, histological features, such as calcification, necrosis, and haemorrhage, and follow-up parameters, such as overall survival, were appropriately recorded and evaluated. Comparisons were made to analyse the prognostic effects of age, sex, pathological stage, histological finding and Masoka staging between thymomas with and without myasthenia gravis. Independent t-test and paired t-test was applied for both groups using IBM SPSS software version 20. For each parameter, Pearson correlation was applied and a p-value <0.05 was taken as significant.
Results
The clinical and treatment characteristics of cases of thymoma are summarised in Table 1.
Thymoma with myasthenia gravis | Thymoma without myasthenia gravis | |||
Sex | Female | 9 | Female | 2 |
Male | 20 | Male | 7 | |
Average age (years) | 19.2 | 40.8 | ||
Average size (cm) | 7.1 | 6.2 | ||
Presentation | Symptomatic | 27 | Symptomatic | 7 |
Incidental | 2 | Incidental | 2 | |
Pathological staging | A | 2 | A | 2 |
AB | 6 | AB | 5 | |
B1 | 2 | B2 | 2 | |
B2 | 16 | |||
B3 | 3 | |||
Masoka staging | STAGE I | 25 | STAGE I | 8 |
STAGE IIB | 3 | STAGE IIA | ||
STAGE IVA | 1 | 1 | ||
Surgery | Y | 29 | Y | 9 |
N | 0 | N | 0 | |
Chemotherapy | Y | 0 | Y | 0 |
N | 29 | N | 9 | |
Radiotherapy | Y | 3 | Y | 0 |
N | 26 | N | 9 |
The mean duration of symptoms was 2.5 months. Twenty-nine cases presented with symptoms of myasthenia gravis and nine were without myasthenia gravis. Of these 29, eight presented with weakness of limb, five with drooping of the eyelid, five with breathlessness, three with hoarseness of voice, two with nasal regurgitation and two were incidentally detected. Out of 29 cases,10 cases were diagnosed as MG with thymoma with anticholinesterase receptor antibody ranging from 1.8 to 24012 nmol/L. The antibody level was not available in 19 cases. Out of nine patients without MG, three were incidentally detected and the rest presented with complaints of breathlessness, cough and chest pain. CECT thorax was performed in all cases and revealed a well-defined lesion in the anterior mediastinum that was heterogeneously enhancing.
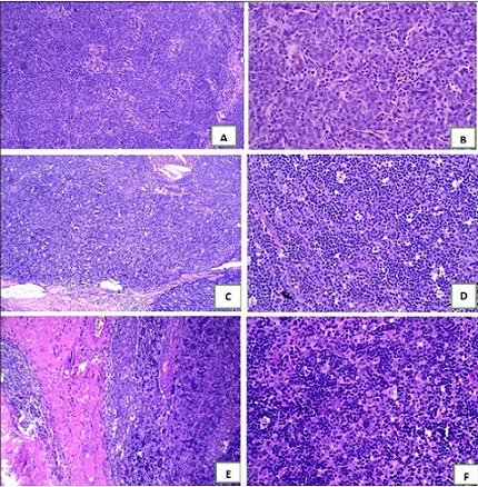
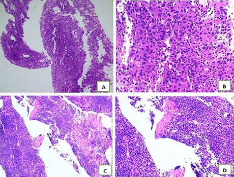
In majority of cases, biopsy was used to establish histopathological confirmation. Three cases of thymoma with myasthenia gravis underwent a needle biopsy whereas the rest underwent thymectomy. Two cases out of nine cases without myasthenia were received as biopsy tissues from elsewhere for review, whereas the rest were thymectomy specimens. Amongst surgical procedures, the most common procedure was trans-sternal thymectomy. All patients had successful total excision. Radiotherapy was given in cases of invasive thymoma, with the radiation dose for the radical intent treatment being 50–60 Gy (2 Gy/Fr). The most popular method of radiation planning was 3D conformal radiotherapy. Patients with myasthenia gravis (M: F) was 18:10 with an average age of 19.24 years and average size of 7.16 cm. Majority of patients with myasthenia gravis were of B2 subtype (16/29) (Figure 1 (E, F)) and rest AB subtype (6/29) (Figure 2 (C, D)), A subtype (2/29) (Figure 1(A, B)), B1 subtype (2/29) (Figure 1 (C, D)) and B3 subtype (3/29) (Figure 2 (A, B)). Two of the cases showed hemorrhage and seven cases showed necrosis.
Figure 1. [Microscopic findings of thymoma type A, B1, B2]: Thymoma type A- Photomicrograph showing a cellular tumour disposed in sheets and nests, A [H and E stain, x100] and composed predominantly of oval to spindle-shaped epithelial cells, B [H and E stain, x400]. Thymoma type B1-Section showing an encapsulated tumor arranged in lobules separated by thick fibrous septae, C [H and E stain, x100]. The lobules are composed predominantly of lymphocytes along with scattered epithelial cells, D [H and E stain, x400]. Thymoma B2- Section showing a tumor composed of admixture of plump epithelial cells and small lymphocytes, E [H and E stain, x100] and F [H and E stain, x400].

Figure 2. [Microscopic finding of thymoma B3, AB]: Thymoma B3- Section showing sheets and lobules of epithelial cells along with a few scattered lymphocytes and macrophages, A[H and E stain, x100] and B [H and E stain, x400]. Thymoma AB- Tumor nodules are predominantly composed of oval to spindle-shaped tumor cells along with admixed small lymphocytes, C [H and E stain, x100] and D [H and E stain, x400].

Masoka staging for patients with myasthenia gravis was in stage I (25/29), stage IIB(3/29) and stage IV(1/29). Patients without myasthenia gravis (M: F) was 7:2 with an average age of 40.8 years and an average size of 6.2 cm. Majority of patients without myasthenia gravis were of AB subtype (5/9) with A (2/9) subtype and B2 (2/9). Three cases showed haemorrhage and one showed necrosis. Masoka staging for patients without myasthenia gravis was in stage I (8/9) and stage IIB (1/9). Those who underwent surgery had a median three-year OS of 94%. Only two of the patient of thymoma with myasthenia gravis died. One patient died due to rectal carcinoma and another due to covid-19 disease. Rest of the patients responded well to treatment. Moreover, the unusually high incidence of MG strengthens the hypothesis that MG, per se, does not represent an increased risk in the brief and long-term outcomes.
Patients diagnosed as thymoma without myasthenia gravis showed a significant correlation between age and sex (r=0.845, p=0.004) while no correlation was seen in parameters of patients diagnosed as thymoma with myasthenia gravis. No significant correlation was found in the paired t test whereas in independent t test on comparing the mean of both the groups, thymoma without myasthenia gravis and thymoma with myasthenia gravis showed a significant p value of 0.014.
Discussion
This study investigates cases of thymoma with or without MG in Indian settings. According to our data, there are 29 cases of thymoma patients with MG and 9 cases without MG. The higher incidence of MG in our study reflects the selective attraction of these patients in our hospital, which is a center of excellence for the treatment of MG and serves a large region.
In our hospital, some MG patients who were treated, later on they were discovered with thymoma on computed tomography. Males and females have MG at similar rates, and it can affect any age group, usually peaking around the age of 50 years [10]. Paraneoplastic syndromes including myasthenia gravis (MG), pure red cell aplasia, hyperthyroidism, endocrinopathy, and other connective tissue abnormalities are present in 20–40% of patients with thymomas. Various studies report that 10 to 30% of people with MG also have thymic tumours, while between 15 to 60 per cent of patients with thymomas also have MG. Several investigations have compared the various clinical features of thymomas with and without MG [11-13].
Thymoma MG and late-onset MG patients’ serological profiles are comparable, with a high prevalence of titin and RyR antibodies and lower AChR antibody concentrations than in early-onset MG patients. Early-onset non-thymoma MG tends to be less severe than thymoma MG [14]. According to one study, patients with late-onset or thymoma MG had a worse prognosis than those with thymic hyperplasia MG. (i.e. surgical excision is the mainstay treatment to manage primarily thymomas). Minority patients with MG are seropositive for antibodies directed to muscle-specific kinase (MuSK), low-density lipoprotein receptor-related protein 4 (Lrp4) or agrin. These antibodies also provide the basis for defining disease subgroups and help delineate phenotypic variants. In a subgroup of MG patients, striational antibodies have also been identified, which include antibodies against titin, ryanodine receptor, and the alpha subunit of the voltage-gated K+ channel (Kv1.4). These antibodies mostly serve as biomarkers of disease severity and are often detected in patients with late-onset MG or with thymoma, and some of them have concomitant myositis and/or myocarditis [10, 11].
Majority of patients in our study with myasthenia gravis were of the B2 subtype and without myasthenia gravis were of the AB subtype.The incidence of MG in thymoma patients varies from 0 to 14% for type A, 6 to 42% for type AB, 7 to 50% for type B1, 24 to 71% for type B2, and 25 to 65% for type B3, according to the majority of reports [15-20]. The prevalence of types B1 and B2 was the same in both groups. Adjuvant treatment was not given to patients with stage I thymoma. The comparison between group of thymoma with MG or without MG and the Masaoka staging did not show any correlation ( p = 0.7).
Patients with thymoma MG and late-onset MG frequently share characteristics, such as late MG onset age, similar serological profile, positive pharmacological treatment response, severe MG, frequent use of immunosuppressive medications, and the occurrence of MG-related mortality [14]. This profile is different from early-onset MG, which includes higher AChR antibody concentrations, essentially no titin or RyR antibodies, little need for immunosuppressive medications, less severe MG, extremely low MG death rates, and a positive thymectomy outcome [14].
The median OS rates in our study closely match the established literature’s 95% rate [21, 22]. Stages I, II, III, and IV all had three-year overall survival rates of 100%, 100%, 91%, and 69%, respectively. Because there were so few patients in this subgroup, it was challenging to show the precise impact of chemotherapy on disease control. The role of neoadjuvant chemotherapy in this disease requires larger prospective investigations. Patients with stage I thymoma usually have no adjuvant therapy unless there is invasive thymoma. Acetylcholinesterase inhibitors are the first pharmaceutical option for treating thymoma MG. When extra immunosuppressive medications are, immunosuppressive medications are required before or after thymectomy in some cases. In severe cases of thymoma MG, immunoglobulin therapy and plasmapheresis are required. Regardless of the degree of resection, adjuvant therapy, most specifically postoperative radiation, is frequently advised for invasive thymoma [23]. Several histopathological studies have been done previously, however, the majority have yielded contradictory conclusions about the ability of histopathological examination to predict biological behaviour [24, 25]. Most often used staging approach is Masoka clinical staging of the tumour, which has proven to be a more accurate prognostic indicator [9, 26]. Additionally, this study cites Masaoka staging as a crucial prognostic predictor. In our cases, majority were in stage I and underwent surgical resection. All cases showed a good prognosis with a survival of 94%.
There is no correlation between thymoma and more severe MG. Age-matched non-thymoma MG patients and those with thymoma with MG had similar long-term prognoses [27]. Radical excision of a thymoma remains a major modality to cure thymic neoplasia in most cases. Although patients will still experience MG following thymectomy, this emphasises the need for ongoing monitoring and medication.
This study however has a few limitations. Firstly, this was a retrospective study with a limited sample size, and maybe that is whyno significant difference was seen in any parameter between the two groups. A prospective study with a larger sample size needs to be conducted. Secondly, paired histological samples were not available and it would have been interesting to study the paired biopsies and thymectomy tissue sections together.
In conclusion, thymoma is a treatable condition with positive clinical results that requires a comprehensive approach. Thymomas are usually associated with paraneoplastic syndrome, most commonly myasthenia gravis. In this study it was an attempt to analyse and compare the prognostic effects of age, sex, pathological stage, histological finding and masoka staging between thymomas with and without myasthenia gravis. Due to a low number of cases of the two group, no significant correlation could be made. Patients diagnosed as thymoma without myasthenia gravis only showed a significant correlation between age and sex (r=0.845, p=0.004).
Acknowledgements
I want to extend the heartfelt gratitude to my fellow authors for their contribution and valuable inputs. Their expertise enhanced the quality of the work. I also want to appreciate my institute for providing resources along with creative and productive environment.
Declaration
Ethics approval and consent to participate.
Not applicable
Consent for publication
I and other authors provided consent for publication
Availability of data and material
Data will be provided whenever required.
Competing interests
Not applicable.There was no conflict of interest among the authors.
Funding
No funding was required as it was a restrospective study with small number of cases.
Authors’ contributions
Dr Kahkashan Riaz,myself and Dr Pallavi Prasad prepared the main manuscript file and dealt with collection of the data and excel processing .Dr Ritu Verma dealt with the pictures , figures and legend arrangements. Dr Shubhi Kamthan delt with statististic part of the paper although no significant correlation was seen in any of parameteres.
References
- Invasive thymoma with intravascular growth into the great veins and right atrium: A case report Shen W, Cao Y, Wang X, Zhang P, Zhou Q. Thoracic Cancer.2020;11(5). CrossRef
- Trends in the incidence of thymoma, thymic carcinoma, and thymic neuroendocrine tumor in the United States Hsu C, Chan JK , Yin C, Lee C, Chern C, Liao C. PloS One.2019;14(12). CrossRef
- Current status of the diagnosis and treatment of thymoma Graeber G. M., Tamim W.. Seminars in Thoracic and Cardiovascular Surgery.2000;12(4). CrossRef
- Staging system of thymoma Masaoka A. Journal of Thoracic Oncology: Official Publication of the International Association for the Study of Lung Cancer.2010;5(10 Suppl 4). CrossRef
- The biologic spectrum of thymic epithelial neoplasms: current status and future prospects Cheney RT . Journal of the National Comprehensive Cancer Network: JNCCN.2010;8(11). CrossRef
- Cytometric cell-based assays for anti-striational antibodies in myasthenia gravis with myositis and/or myocarditis Kufukihara K, Watanabe Y, Inagaki T, Takamatsu K, Nakane S, Nakahara J, Ando Y, Suzuki S. Scientific Reports.2019;9(1). CrossRef
- Management of thymoma-associated pure red cell aplasia: A novel use of blood substitute HBOC-201 in a Jehovah's Witness Rubinstein MM , Goss C, Avecilla ST , Dubé GP , Riely GJ , Mones JV . Clinical Case Reports.2020;8(2). CrossRef
- Commentary: Toward a better understanding of the natural history of surgically treated thymoma associated with paraneoplastic syndromes Sideris A, Huang J. The Journal of Thoracic and Cardiovascular Surgery.2020;160(1). CrossRef
- The Masaoka-Koga stage classification for thymic malignancies: clarification and definition of terms Detterbeck FC , Nicholson AG , Kondo K, Van Schil P, Moran C. Journal of Thoracic Oncology: Official Publication of the International Association for the Study of Lung Cancer.2011;6(7 Suppl 3). CrossRef
- Antititin antibody in early- and late-onset myasthenia gravis Szczudlik P., Szyluk B., Lipowska M., Ryniewicz B., Kubiszewska J., Dutkiewicz M., Gilhus N. E., Kostera-Pruszczyk A.. Acta Neurologica Scandinavica.2014;130(4). CrossRef
- Clinical and pathologic predictors of outcome in thymoma-associated myasthenia gravis López-Cano M, Ponseti-Bosch JM , Espin-Basany E, Sánchez-García JL , Armengol-Carrasco M. The Annals of Thoracic Surgery.2003;76(5). CrossRef
- Thymoma and myasthenia gravis: a clinical study of 1,089 patients from Japan Kondo K, Monden Y. The Annals of Thoracic Surgery.2005;79(1). CrossRef
- Thirty-five-year follow-up analysis of clinical and pathologic outcomes of thymoma surgery Margaritora S, Cesario A, Cusumano G, Meacci E, D'Angelillo R, Bonassi S, Carnassale G, et al . The Annals of Thoracic Surgery.2010;89(1). CrossRef
- Myasthenia gravis: clinical, immunological, and therapeutic advances Romi F., Gilhus N. E., Aarli J. A.. Acta Neurologica Scandinavica.2005;111(2). CrossRef
- WHO classification of tumours of the lung, pleura, thymus and heart. IARC Press Travis WD , Brambilla E, Burke AP , et al . 2015.
- WHO histologic classification is a prognostic indicator in thymoma Kondo K, Yoshizawa K, Tsuyuguchi M, Kimura S, Sumitomo M, Morita J, Miyoshi T, et al . The Annals of Thoracic Surgery.2004;77(4). CrossRef
- The role of surgery in the management of thymoma: a systematic review Davenport E, Malthaner RA . The Annals of Thoracic Surgery.2008;86(2). CrossRef
- ITMIG consensus statement on the use of the WHO histological classification of thymoma and thymic carcinoma: refined definitions, histological criteria, and reporting Marx A, Ströbel P, Badve SS , Chalabreysse L, Chan JKC , Chen G, Leval L, et al . Journal of Thoracic Oncology: Official Publication of the International Association for the Study of Lung Cancer.2014;9(5). CrossRef
- The World Health Organization histologic classification system reflects the oncologic behavior of thymoma: a clinical study of 273 patients Okumura M, Ohta M, Tateyama H, Nakagawa K, Matsumura A, Maeda H, Tada H, et al . Cancer.2002;94(3). CrossRef
- Thymoma: a clinicopathologic study based on the new World Health Organization classification Nakagawa K, Asamura H, Matsuno Y, Suzuki K, Kondo H, Maeshima A, Miyaoka E, Tsuchiya R. The Journal of Thoracic and Cardiovascular Surgery.2003;126(4). CrossRef
- Long-term survival and prognostic factors in thymic epithelial tumours Rea F, Marulli G, Girardi R, Bortolotti L, Favaretto A, Galligioni A, Sartori F. European Journal of Cardio-Thoracic Surgery: Official Journal of the European Association for Cardio-Thoracic Surgery.2004;26(2). CrossRef
- World Health Organization histologic classification: an independent prognostic factor in resected thymomas Rena O, Papalia E, Maggi G, Oliaro A, Ruffini E, Filosso P, Mancuso M, Novero D, Casadio C. Lung Cancer (Amsterdam, Netherlands).2005;50(1). CrossRef
- Thymoma: first large Indian experience Rathod S., Munshi A., Paul S., Ganesh B., Prabhash K., Agarwal J. P.. Indian Journal of Cancer.2014;51(2). CrossRef
- Prognostic relevance of Masaoka and Müller-Hermelink classification in patients with thymic tumors Lardinois D., Rechsteiner R., Läng R. H., Gugger M., Betticher D., Briel C., Krueger T., Ris H. B.. The Annals of Thoracic Surgery.2000;69(5). CrossRef
- Thymomas: Review of Current Clinical Practice Tomaszek S, Wigle DA , Keshavjee S, Fischer S. The Annals of thoracic surgery.2009;87(6). CrossRef
- Clinical and immunological differences between early and late-onset myasthenia gravis in Japan Suzuki S, Utsugisawa K, Nagane Y, Satoh T, Kuwana M, Suzuki N. Journal of Neuroimmunology.2011;230(1-2). CrossRef
- Disease severity and outcome in thymoma myasthenia gravis: a long-term observation study Romi F., Gilhus N. E., Varhaug J. E., Myking A., Aarli J. A.. European Journal of Neurology.2003;10(6). CrossRef
License

This work is licensed under a Creative Commons Attribution-NonCommercial 4.0 International License.
Copyright
© Asian Pacific Journal of Environment and Cancer , 2025
Author Details
How to Cite
- Abstract viewed - 0 times
- PDF (FULL TEXT) downloaded - 0 times
- XML downloaded - 0 times