Triple Synchronous Primary Tumors of Stomach, Kidney and Ovary: A Rare Case Report
DOI:
https://doi.org/10.31557/apjcc.2025.10.4.1231-1234Keywords:
Synchronous tumors,gastric carcinoma,renal carcinoma,ovarian teratoma.Abstract
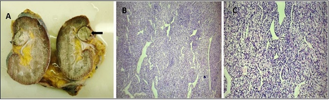
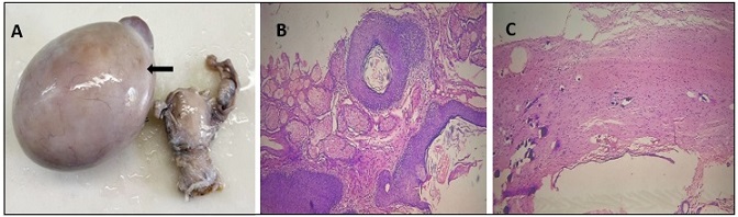
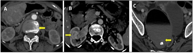
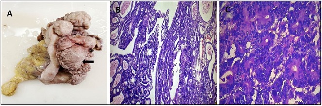
Synchronous multiple primary malignancies are rare clinical condition, and the occurrence of triple synchronous primary tumors are exceptionally uncommon. Among these, the simultaneous occurrence of primary gastric, renal, and ovarian tumor has seldom been reported in the literature. We present a case of a 70 year- female who presented with abdominal pain and endoscopic biopsy showed gastric adenocarcinoma. CECT abdomen and pelvis subsequently revealed an incidental right renal and ovarian tumor. The patient underwent curative surgical resection for all three tumors in a single operative session. Post-surgical histopathology confirmed Clear cell renal cell carcinoma and Ovarian mature cystic teratoma. There was no evidence of metastasis among the tumors. Elderly patient with gastric carcinoma have a higher risk of developing a synchronous tumor than younger people. This case highlights the importance of thorough diagnostic evaluation of multiple primary malignancies in an elderly patients with gastric cancer , as the differentiation between metastatsis and synchronous primaries significantly influences the planning of treatment. Early detection and multidisciplinary approach are essential for optimizing outcomes in such rare and complex presentations.


3.jpg)





