Histopathological Spectrum of Eyelid Tumors in Northeast India: A 6-Year Retrospective Study
DOI:
https://doi.org/10.31557/apjcc.2025.10.4.1119-1123Keywords:
Eyelid tumors, sebaceous gland carcinoma, basal cell carcinoma, histopathology, India, WHO classificationAbstract
Background: Eyelid tumors present with a diverse histopathological spectrum, varying across geographic and ethnic groups. In Asia, sebaceous gland carcinoma (SGC) often rivals basal cell carcinoma (BCC) in incidence. This study evaluates the clinicopathological profile of eyelid tumors from Northeast India.
Objective: To analyse the histopathological distribution, demographic profile, and malignant versus benign ratio of surgically excised eyelid tumours over six years at a tertiary care centre.
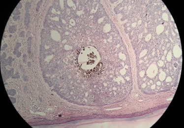
Methods: A retrospective review was conducted on histopathologically diagnosed eyelid tumors excised between March 2008 and February 2014. Clinical and demographic data were retrieved. Routine H&E staining was performed, with immunohistochemistry as needed. Tumours were classified according to the WHO 5th edition classification.
Results: Of 132 excised eyelid lesions, 124 were neoplastic (81.5% benign, 18.5% malignant), and 8 were inflammatory chalazia. Benign tumors included epidermal cyst (23.8%), dermoid cyst (21.8%), haemangioma (14.9%), and squamous papilloma (11.9%). Among malignancies, basal cell carcinoma (BCC) predominated (39.1%), followed by squamous cell Carcinoma (SCC) (30.4%), Sebaceous gland carcinoma (SGC) (21.7%), and malignant melanoma (8.6%). Malignant tumors showed a female preponderance. Comparative analysis with regional and global studies demonstrated higher proportions of SGC and SCC in this cohort.
Conclusion: Benign lesions remain predominant in eyelid tumors. However, sebaceous carcinoma and squamous cell carcinoma constitute a significant malignant burden in this Northeast Indian population. Early biopsy and histopathological diagnosis are essential for timely intervention.


3.jpg)





