A Case of Intracholecystic Papillary Neoplasm of Gall Bladder-A Rare Entity
DOI:
https://doi.org/10.31557/apjcc.2025.10.4.1241-1244Keywords:
ICPN(Intracholecystic papillary neoplasm),POD(post operative day),CECT(contrast enhanced computer tomography)Abstract
Background: Intracholecystic Papillary Neoplasm is a rare epithelial neoplasm originating in the gallbladder mucosa. It usually presents as gallbladder mass and is associated with varying degree of dysplasia or invasiveness needing high index of suspicion for proper management.
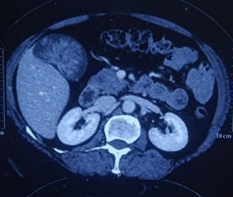
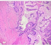
Case Presentation: A 48-year-old female presented with complaints of vague upper abdominal pain for last 10 days.Ultrasound abdomen revealed polypoidal mass filling gall bladder lumen measuring 7x3.8 cm. MRCP revealed hypointense mass lesion within gallbladder lumen with its stalk at the hepatic surface of gall bladder. CT abdomen revealed heterogeneously enhancing gall bladder mass with no regional lymphadenopathy. Serum tumor markers of CEA, CA19.9 were normal. Patient underwent en bloc resection of 2 cm segment IVB liver along with gallbladder. Intraoperative frozen section specimen revealed exophytic polypoidal papillary lesion in distal body of gallbladder measuring 5x4x3 cm. Microscopic features revealed intracholecystic papillary neoplasia with low-grade dysplasia. Regional lymphadenectomy was not performed. Final diagnosis of Intracholecystic papillary neoplasm,gastric type was confirmed and patient was kept on close follow up.
Conclusion: Intracholecystic papillary neoplasm of gall bladder is a rare entity presenting as intraluminal growth which require proper histopathological diagnosis. Clinical features and imaging modalities are non-specific. They have variable morphological subtypes like papillary or tubular growth patterns and may have underlying varying degree of dysplasia or invasive foci making it pertinent to perform surgical resection.They are relatively indolent with better prognosis as compared to gallbladder carcinomas. Further studies are required to precisely diagnose it and manage the various subtypes appropriately.


3.jpg)





