TWIST1 Expression and Tumor Infiltrating Lymphocytes: Prognostic Value in Colorectal Adenocarcinoma
DOI:
https://doi.org/10.31557/apjcc.2025.10.4.1183-1188Keywords:
TWIST1, TILs, Depth of invasion, Colorectal adenocarcinomaAbstract
Background: Colorectal cancer remains a major health concern due to its high incidence and mortality. However, reports on the prognostic value for colorectal cancer were still limited. TWIST1 overexpression is associated with poor clinical prognosis in colorectal adenocarcinoma. Tumor-infiltrating lymphocytes (TILs) reflect the body’s immune response to cancer. This study aims to investigate these relationships between TWIST1 with histological grade, TILs grade, and depth of invasion in colorectal adenocarcinoma.
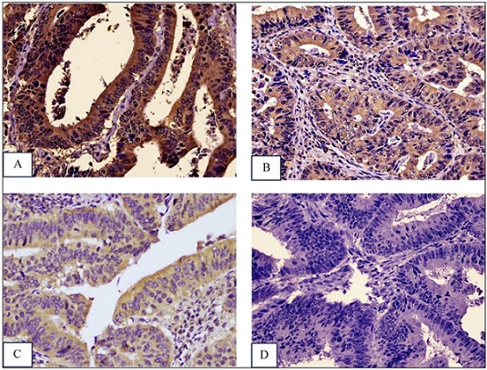
Methods: This cross-sectional study assessed TWIST1 expression in paraffin-embedded samples from an Indonesian population with colorectal adenocarcinoma. Immunohistochemical staining with a rabbit polyclonal TWIST1 antibody was performed. TWIST1 expression was evaluated under microscope. Statistical analysis was performed to determine association between TWIST1 with histological grade, TILs grade, and depth of invasion in colorectal adenocarcinoma.
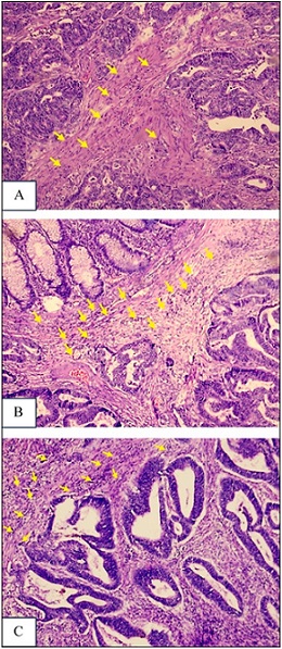
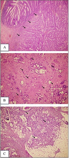
Results: A total of 100 samples examined. Of 53 samples with low grade TILs, 39 (73.6%) showed strong TWIST1 expression. In intermediate grade TILs, 14 (50%) from 28 samples showed strong TWIST1 expression. In the high grade TILs, 8 (42.1%) from 19 samples showed strong TWIST1 expression. In low grade histological adenocarcinoma, 29 (47.5%) from 61 samples showed strong TWIST1 expression. In high grade adenocarcinoma, 32 (82.1%) from 39 samples showed strong TWIST1 expression. Statistical analysis using Chi square test shown a significant association between TWIST1 expression with both histological grade (p=0.001) and TILs grade (p=0.020), whereas no significant association was found with depth of invasion (p=0.976).
Conclusions: There is a significant positive correlation between TWIST1 expression with histological grade and TILs grade. Although, there is no significant correlation between TWIST1 expression with depth of invasion. Therefore, TWIST1 expression might be potential as a prognostic indicator in colorectal adenocarcinoma.


3.jpg)





